全省首例!承载五千里北上南下的生命希望——复杂恶性神经鞘膜瘤手术在赣成功
这是一次关于生命、勇气与信任的跨越。从吉林到北京,从上海到江西,19岁的吉林大学生小毕与他的父母,在恶性神经鞘膜瘤的一次次复发中,辗转千里,最终在江西省中医院,迎来了重生之光。
突袭的阴影:从无意触摸到确诊
2024年7月初,小毕在洗澡时无意间摸到腹部一个明显的包块,不痛不痒。出于谨慎,他前往吉林当地医院检查。半月后,一纸“恶性神经鞘膜瘤”的诊断书,让整个家庭陷入冰窖。“我和家里人都愣住了,心里特别害怕,根本没法接受。”小毕回忆道。
病魔并未给予这个家庭喘息之机。首次术后仅一个月,肿瘤复发。父母放下家乡事务,在小毕就读的大学食堂找到一份工作,边打工边守护儿子。小毕努力维持学业,但寒假复查时,包块已明显增大,一家人紧急赴京进行第二次手术。术后返校仅一周,复查再次传来复发消息。“一次又一次的复发,让我和家人陷入深深的无力感。”最终,他们决定南下上海,进入漫长的放化疗阶段。学业暂停,生活缩成医院与出租屋的两点一线。

漫长求医之路的部分小票(患者提供)
至暗时刻的微光:当四科专家共同站上手术台
在上海治疗期间,病情并未明显好转。当医生告知需要再次手术,且涉及多个器官、风险极高时,小毕的心情复杂。“说不害怕是假的,但除了害怕,其实还有一种很强烈的期待——仿佛在黑暗里看到一束光。”
这束光,来自上海专家的推荐——他建议小毕一家前往江西省中医院,寻找对复杂肿瘤有着丰富经验的张兵主任。初到南昌,张兵主任细致耐心的病情分析、如家人般的团队氛围,逐渐消融着一家人的忐忑。然而,真正的“破防”时刻,发生在手术前夕。因手术需大量用血而血库紧张,张兵主任得知后,亲自向江西中医药大学师生发起献血倡议,并最终为小毕筹齐全部用血。“那一刻,我所有的犹豫都消失了。”小毕说,“把生命托付给这样一个愿意为我全力以赴的团队,是这辈子最正确的决定。”手术前,张兵主任将小毕与父母请到一起,细致讲解手术方案。“我父母听不懂的医学名词,他就换个说法再解释一遍。”小毕说,“我能清清楚楚地感觉到,他不是在单纯地完成一个医疗流程,而是真心实意地在为我这个人、为我们这个家庭考虑。”




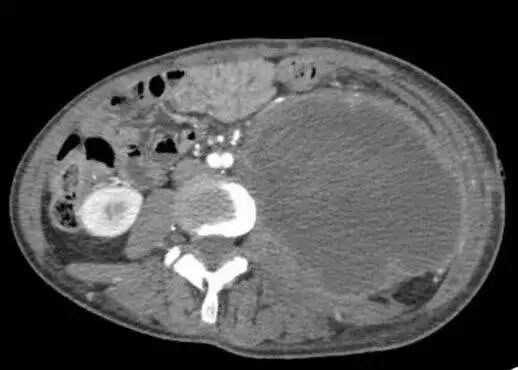
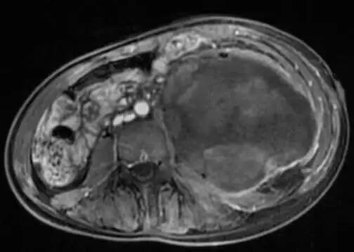
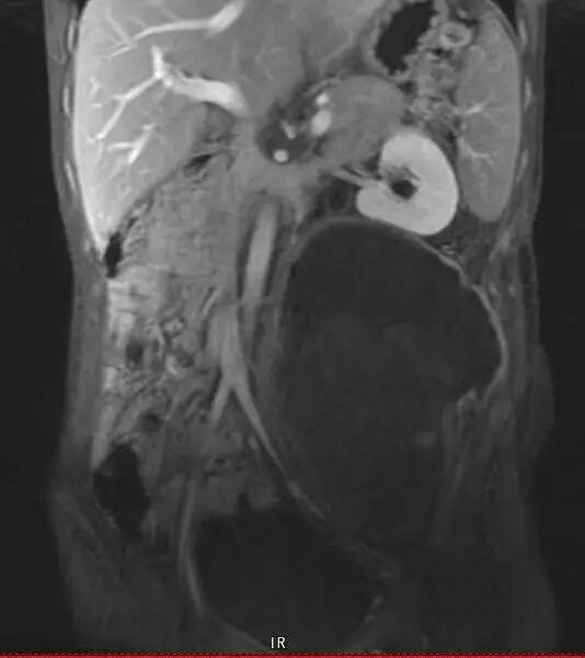
术前影像资料提示:患者左侧腹膜后存在一巨大恶性神经鞘瘤,最大径达20.1厘米。肿瘤已广泛侵犯周围结构,包括同侧髂骨、腰椎以及输尿管。
更令小毕震撼的是,这场手术由普外科、脊柱外科、泌尿外科及张兵主任本人领衔的骨与软组织肿瘤科等四个科室主任专家共同进行。“我从来没想过,为了我一个人,医院能组织起这么强大的阵容,这让我深深地感受到,我的生命被如此慎重地对待。”
父母的守望:18小时的煎熬与一瞬的释放
对于小毕的父母而言,这段求医路如同行走刀尖。“每一天都像是在刀尖上走。”母亲回忆,“提心吊胆”四字远不足以形容心情。每一次复发消息,都像重锤击垮希望,但“必须救孩子”的信念支撑着他们不敢倒下。

手术历时18小时,过程顺利,取得圆满成功。
手术当日,18小时的等待,成为母亲人生中最漫长的黑暗。“每一分每一秒,心都像被紧紧攥着,时间仿佛凝固了。”当手术灯熄灭,听到“顺利”二字时,她几乎虚脱,泪水决堤。“我特别想给张兵主任和他的团队深深鞠一躬,”她说,“你们不仅是医术高超的医生,更是给我们全家带来希望的恩人。”


术后X线

术后3小时的小毕。
新生与回响:重新理解平凡的可贵
手术成功后,小毕的身体正一天天好转。他最想对医疗团队说的,是一句沉甸甸的“谢谢”:“谢谢你们用精湛的医术完成了这场艰难的手术,把我从绝望的边缘拉了回来。”
这段与疾病交锋的岁月,让他对生命有了更深的理解,“健康从来不是理所当然的,能平安地醒来、自由地呼吸、踏实地吃一顿饭,就是生活最珍贵的馈赠。”他最大的心愿,是重返校园。“我想把过去被按下暂停键的学业重新拾起来。这场病让我知道,能普通地生活、学习,本身就是一种巨大的幸运和力量。”经历了这一次,小毕母亲对小毕未来的期待朴素而深沉。“我不求他将来多么出人头地,只愿他健康、平安,能像其他孩子一样奔跑、读书、长大。这段经历让我更懂得,只要人还在,希望就一直在,”小毕母亲如实说道。作为小毕的主刀医生,张兵主任回忆初次见面时的景象,“初次会诊时,三双充满期待的眼睛望着我,透着这眼神望过去是对我的信任,我知道我不能辜负他们,我能做的就是全力以赴。”术前,张兵主任耐心和小毕的父母沟通,“我跟小毕父母逐条分析他的病情,对他们来说,这都是些晦涩难懂的医学术语,我用通俗易懂的词语解释给他们听,关于这个手术方案我告诉他们为什么要这么做,可能会遇到什么情况,我们团队又准备了哪些应对的办法。”现下,小毕体征良好,已转入病房休养,静待康复出院。

照片摄于2025年12月31日,张兵主任带领医护团队查房,询问小毕恢复情况。
一场手术,凝聚四个科室的顶尖力量;一次献血倡议,联动一所大学的师生热血。这不仅是一次医学上的联合攻坚,更是一场关于信任、勇气与生命托付的深度共鸣。在疾病面前,个体的脆弱与坚韧、家庭的无力与坚守、医者的专业与温度,交织成一首跨越地域、穿透阴霾的生命之歌。
小毕的故事还未结束,但他已经握住了重启人生的钥匙——那钥匙,来自不放弃的自己,来自永守护的家人,也来自那群愿意为他“全力以赴”的医者。
一审:史建刚
二审:陈雯越
三审:沈德森

赣公网安备 36010202000449号